Smile Gallery
Click each photo to see before and after



Smile MakeoverA complete refresh to bring out natural brightness and symmetry, crafted from advanced porcelain materials that reflect light beautifully.



Smile MakeoverA customized smile redesign using ultra-precise ceramic artistry for a naturally radiant finish.



Smile MakeoverThis patient is a well-known sports television anchor who appears on air almost daily and was concerned about the appearance of his smile. He was unhappy with previous veneer work that showed recurrent decay and gum recession, creating dark margins around the teeth. He also disliked the pointed, V-shaped appearance of the gum tissue.
A gum procedure combined with new porcelain restorations was completed, resulting in a dramatic smile transformation in just two appointments.


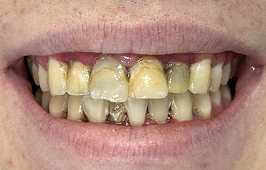
Smile MakeoverThis patient was dissatisfied with his smile due to significant tooth wear over the years, which had caused his teeth to appear short. He also wanted a brighter smile.
In a single visit, in-office Zoom whitening was completed along with gum contouring and porcelain restorations for the front teeth. The patient was thrilled with his new smile.


Smile MakeoverThis patient was unhappy with the appearance of her front teeth due to large black triangular spaces near the gum line between each tooth. She also disliked the shape and color of her teeth.
Porcelain restorations, along with contouring, were used to address these concerns, resulting in a beautiful, natural-looking new smile.


Smile MakeoverA refined transformation that restored balance and glow, producing a youthful, confident expression.



Smile MakeoverPatient was unhappy with her smile. Her upper teeth were different colors and certain teeth had older metal fusing to porcelain crowns. Her lower teeth were very crowded and she did not want braces.
Porcelain treatment was completed for several upper and lower teeth and the patient is thrilled with her new smile.



Smile MakeoverPatient was unhappy with his smile. He had many broken teeth and crowded teeth with different colors. A complete refresh of the upper and lower teeth was completed to bring out natural brightness and symmetry crafted from advanced porcelain materials.


Smile MakeoverPatient was unhappy with her lower teeth because they were crowded, and some teeth looked taller than others and tipped forward. Porcelain artistry used to transform and elevate facial aesthetics with lower teeth that are now symmetrical and and feel completely natural. Patient could not be happier!



Smile MakeoverA bright, even, and elegant smile achieved through handcrafted porcelain layers that mimic natural enamel.



Smile MakeoverPatient was unhappy with her smile. She did not like the color of her teeth and the symmetry. Her husband had a new smile created with porcelain in our studio and our patient decided it was her turn! A transformation was completed to elevate facial aesthetics through precision ceramic design, and tailored shade matching for the upper teeth and one hour in office whitening for the lower teeth. Now our patients… husband and wife are both are thrilled with their new smiles.



Smile MakeoverAn upgrade to a smoother, luminous look using zirconium craftsmanship for long-lasting brilliance.



Smile MakeoverSubtle reshaping and optical perfection that harmonize every tooth for a confident, polished smile.


Smile MakeoverPorcelain artistry that enhances natural light reflection and gives a soft, flawless appearance.



Smile MakeoverA transformation designed to elevate facial aesthetics through precision ceramic design and tailored shade matching.



Smile MakeoverHigh-quality materials blended to achieve clarity, shine, and symmetry that feel completely natural.



Smile MakeoverFrom minor imperfections to radiant balance—this smile was redesigned with meticulous porcelain detail.



Smile MakeoverA rejuvenated look built for luminosity, character, and balance by blending modern zirconium aesthetics.



Smile MakeoverThe patient was unhappy with his dark teeth, which had many broken edges and wide spaces between them. Porcelain treatment was completed on both the upper and lower teeth, and the patient is very happy with the results. His family members tell me that he rarely smiled in the past, and now he can’t stop smiling!



Smile MakeoverAn elegant update creating uniform brightness and refined proportions, tailored to fit the face perfectly.
More Smiles
Explore some more of our results below. Use the slider to see the before and after treatment photos.












Celebrity Smiles









