Naples Holistic Dentist
As someone who values a holistic approach to dental care, you may be discerning about what materials go into your restorations. At Cameron Dental Studio, we make it easy to avoid certain substances. All of our crowns and fillings are 100% mercury-free and metal-free, and we also offer BPA-free composite fillings.
Your Mercury-Free Dentist
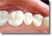
We don’t love amalgam fillings, either. Their silver color makes dental work stick out rather than blend in for optimal aesthetics. So, if you’re looking to avoid mercury, no problem! Our dentists use only composite fillings like the ones to the right, for a much more natural look.
BPA-Free Fillings
If you’re concerned about the presence of BPAs in your fillings, let us know. At your request, we’ll be happy to use only BPA-free composites in your fillings.
Metal-Free Crowns
If you’re sensitive to metal, our crowns will be perfect for you! We use beautiful zirconia crowns that are strong, natural-looking, and of course, completely metal-free. They promote such a high aesthetic that we often use them for smile makeovers.
Holistic Mindsets Welcome!
At Cameron Dental Studio, we love working with our patients to meet their individual needs. If you need a dentist who you can trust to answer your questions and accommodate your requests, we’d love to help. Simply give us a call at (239) 256-1330 to schedule an appointment. Or feel free to request an appointment online, and we’ll contact you to set one up.



