Smile Gallery
Click each photo to see before and after



ShellyA complete refresh to bring out natural brightness and symmetry, crafted from advanced porcelain materials that reflect light beautifully.



KenA customized smile redesign using ultra-precise ceramic artistry for a naturally radiant finish.



LindaA refined transformation that restored balance and glow, producing a youthful, confident expression.



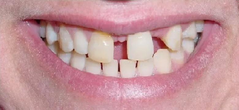
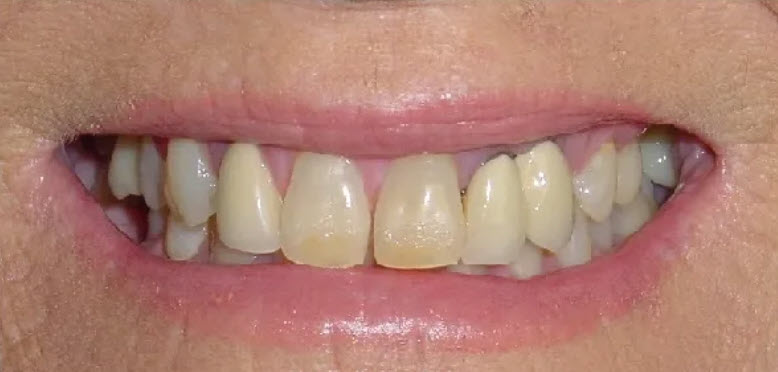
ArthurPatient was unhappy with his smile. He had many broken teeth and crowded teeth with different colors. A complete refresh of the upper and lower teeth was completed to bring out natural brightness and symmetry crafted from advanced porcelain materials.


TammiPatient was unhappy with her lower teeth because they were crowded, and some teeth looked taller than others and tipped forward. Porcelain artistry used to transform and elevate facial aesthetics with lower teeth that are now symmetrical and and feel completely natural. Patient could not be happier!



RenneA bright, even, and elegant smile achieved through handcrafted porcelain layers that mimic natural enamel.



BarbaraPatient was unhappy with her smile. She did not like the color of her teeth and the symmetry. Her husband had a new smile created with porcelain in our studio and our patient decided it was her turn! A transformation was completed to elevate facial aesthetics through precision ceramic design, and tailored shade matching for the upper teeth and one hour in office whitening for the lower teeth. Now our patients… husband and wife are both are thrilled with their new smiles.



GillmanAn upgrade to a smoother, luminous look using zirconium craftsmanship for long-lasting brilliance.



YvonneSubtle reshaping and optical perfection that harmonize every tooth for a confident, polished smile.


FrancoPorcelain artistry that enhances natural light reflection and gives a soft, flawless appearance.



DonaldA transformation designed to elevate facial aesthetics through precision ceramic design and tailored shade matching.



GeorgeHigh-quality materials blended to achieve clarity, shine, and symmetry that feel completely natural.



HaydenFrom minor imperfections to radiant balance—this smile was redesigned with meticulous porcelain detail.



JeffreyA rejuvenated look built for luminosity, character, and balance by blending modern zirconium aesthetics.



MelindaAn elegant update creating uniform brightness and refined proportions, tailored to fit the face perfectly.
More Smiles
Explore some more of our results below. Use the slider to see the before and after treatment photos.












Celebrity Smiles






